Искрена рецензија: цисти и камења во бубрезите. Како се лекуваат без операција
Ова се случи во 2024 година. Се тресам кога ќе се сетам на тоа! 
Сè започна кога отидов во тоалет, но од мене не се исцеди ниту една капка, а долниот дел од грбот ме болеше како да имам циститис, па земав спазмолитици, но наскоро не можев да се движам без помошта на мојот сопруг…
Почнав да работам оддома. Работев на каучот. Мислев дека тоа е болка во нервите, но не ми помогнаа ниту мастите, ниту облогите.
Болката се смири некое време само откако примив инјекции.
Мојот сопруг ми закажа преглед на лекар, но јас не отидов, издржував сè додека болката не се прошири кон 'рбетот, нозете и јајниците. Еднаш сакав да одам во тоалет и едноставно не можев да станам…
Врескав сè додека сопругот не ме слушна. Ме однесе директно во болница. 
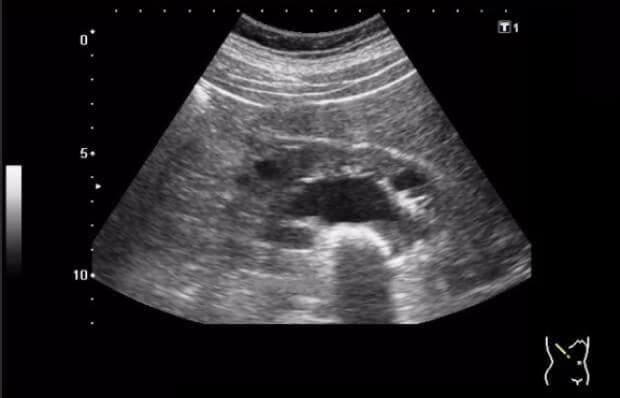
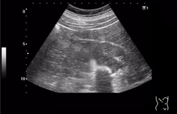
Прегледот покажа дека имам камења во бубрезите и циста, а не циститис и болка во нервите. Лекарот ми препиша лекови за ублажување на воспалението и ме прими на одделение. Во случај на влошување, ќе морав итно да се оперирам. За среќа, третманот помогна. Но, не можев да престанам да мислам на тоа дека имам нова формација во бубрезите. Што ако беше рак? 
Почнав да барам начини за отстранување на камењата и цистата. Читав и за ајурведа. Така наидов на рецензии за Nefro Aktiv 
на еден од форумите. Мојот спас! Се двоумев,
но се консултирав со докторот и тој ми дозволи да почнам да го користам. Составот е целосно природен, екстракти од лековити билки: коприва, камилица, ајдучка трева и боровинка. Состојките се избрани во вистинската доза
и делуваат заеднички, ги чистат бубрезите и црниот дроб од камења и песок, а исто така ги раствораат и цистите.
Имав напредна фаза, не сакав да одам на операција, па почнав да земам Nefro Aktiv не 3 пати на ден (според упатствата), туку 5-6 пати на ден.
Еден месец подоцна, ултразвукот покажа дека цистата е двојно помала – од 20 mm на 10 mm! A два од трите камења се растворија и ги исфрлив од телото (се сеќавам на болката при мокрење неколку дена пред тоа). Потоа се вратив на редовната доза. Еден месец подоцна, докторот беше шокиран кога направивме ултразвук – бубрезите ми беа чисти! 


Значи, ако и вам ви дијагностицирале нешто вакво, не паничете!
Некои лекари само сакаат да сечат со својот скалпел, а по операцијата ќе имате долго и болно закрепнување. Освен тоа, зошто да страдате ако постои безбедна опција за третман – Nefro Aktiv. 
Но, Nefro Aktiv не се продава во аптеките. Со цел да се избегнат фалсификати, производителот го продава само на официјалната веб-страница.









Коментари: 21
Оставете коментар здравјеДобар ден. Со ултразвук на бубрезите ми е откриена циста на десниот бубрег од 2 cm и на левиот од 1,3 cm. Ако сте го користеле овој производ, кажете ми дали имам шанса?
Здраво. Го имам истото прашање. Мајка ми (64 години) страда од циста на бубрегот веќе 5 години, а неодамна дознавме дека има и камења. Лекарите навистина не нудат ништо. Само апчиња и тестови.
Здраво, јас заради тоа ја напишав цела приказна. Сакав со својот пример да ви покажам дека сѐ е вистина. Основната работа е да се биде оптимист и да се користи Nefro Aktiv според упатствата.
Здраво! Имам сложена циста со тенденција да расте. Минатата година направив магнетна резонанца, имам циста од 70 mm. Не знам што да правам, кого да прашам. Ми велат дека е подобро да се оперира.
Кој го вели тоа?
Лекарите и моите пријатели, прашав.
А, ако ти кажат да скокнеш од покрив, дали ќе го направиш тоа?
Зошто си неучтива? Само побарав помош. Совет.
Не ме сфаќај погрешно. Кате од срце ти кажа што да правиш. Сè уште не сфати дека операцијата е лоша? Твоето првично прашање е небитно бидејќи Кате ти кажа како да се ослободиш од цистата без операција. Ти посакувам сѐ најдобро!
Здраво! Пробав Nefro Aktiv . Делуваше, но не веднаш. Цистата и камењата целосно се растворија во рок од 4 месеци. Имав среќа. Пробајте и вие.
Фала за рецензиите! Сега ќе нарачам.
Веќе не знам на кого да верувам повеќе. Пиев толку многу апчиња, но камењата и цистите не се растворија. Имам влошувања кога речиси умирам, а потоа повторно станувам. Сакам да се ослободам од оваа болест еднаш и засекогаш. Разговарав со мојот сопруг за ова и тој рече дека треба да го купам овој производ. Ќе го пробам. Се надевам на најдоброто.
Здраво, браво за тебе! Никогаш не очајувај, како што може да видиш и јас исто така поминав извесно време обидувајќи се да најдам начин како да го решам мојот проблем. На крај, сѐ заврши добро! Ги чекам твоите повратни информации, се надевам ќе чујам дека си комплетно оздравена!
Фала душо. И ти биди здрава.
Колку што знам, цистите не се лекуваат доколку не му пречат на нормално функционирање на бубрезите. Ако се помали од 5 cm, нема ниту да забележите дека ги имате, особено ако е само една.
Здраво, драги читатели! Решив да ја споделам мојата приказна. Мојата циста на бубрегот беше откриена во 2004 година (се формираше поради камен во бубрегот). Прво беше 8 mm, а потоа 13 mm. Понекогаш можев да ја допрам. Болката беше страшна. Не можев да станам од кревет. Пробав различни методи, освен операција. Немаше некој поголем ефект. Како што реков, цистата се зголеми. По неколкугодишно измачување, дознав за Nefro Aktiv . Почнав да го користам. Ултразвукот покажа намалување на цистата. После второто пакување, уште повеќе се намали. А после третото мојата огромна циста исчезна. Вистинско чудо! Сега немам проблеми. Ви го препорачувам.
Кате, сакам да го препорачам исто така. Му помогна на татко ми и мене.
Никогаш не би помислил дека ова е вистина. Дефинитивно ќе го порачам за сестра ми и за мене. Имаме проблеми со бубрезите уште од деца.
Никогаш не сум го видела овој производ во аптеките. Ќе го прашам мојот лекар.
Пред две години, ми отстранија голема циста од бубрегот (зафаќаше речиси половина од бубрегот). Лапароскопијата беше болна ако може така да се каже. А рехабилитацијата беше тешка, останав без работа затоа што никој не сакаше да ми го продолжи боледувањето. Колку што сфатив, во основа секој поминува низ ваква рехабилитација, под надзор и со многу лекови. Никој не знаеше за Nefro Aktiv тогаш. Во 2026 година, повторно ми пронајдоа камења и цисти во другиот бубрег. Кожата ми стана сива за еден месец. Се плашев од операцијата и за среќа не се согласив! Најдов лекар кој ми го препиша овој производ. Го користев 2 месеци. Прво исчезнаа камењата, а потоа ја снема и цистата. Значи, дефинитивно треба да ги проучите сите начини за решавање на проблемот. Особено кога станува збор за здравјето.
Целосно се согласувам! Покрај тоа, како што покажа искуството, ризиците не се оправдани. А, зошто да се ризикува кога постои Nefro Aktiv.