Iskreno mišljenje: ciste i kamenje u bubrezima. Kako proći bez operacije
Bilo je to 2024. godine. Sjećam se i koža mi se ježi! 
Počelo je tako što sam trčala u toalet i nisam mogla da izbacim iz sebe ni kap, probadalo me kroz donji dio kralježnice kao kod cistitisa, pila sam spazmolitike do kad nisam mogla da se krećem bez suprugove pomoći...
Prešla sam da radim od kuće. Radila sam iz kreveta. Mislila sam da je možda neuralgija, ali ni masti ni kompresije nisu pomogli.
Tek poslije injekcija bi bol nakratko prestao.
Suprug me je zakazao kod doktora, ali nisam otišla jer sam sve trpila dok bol nije prešla na kralježnicu, noge i jajnike. Jednom sam htjela u toalet i nisam mogla ustati...
Vikala sam dok nisam izgubila glas dok me suprug nije čuo. Odmah me odvezao u bolnicu. 
Pregled je pokazao da imam kamenje u bubregu i cistu, a ne cistitis s neuralgijom. Doktor mi je propisao lijek za uklanjanje upale i rekao da pratim stanje. Ako se pogorša, potrebna je hitna operacija. Hvala Bogu, liječenje mi je pomoglo. Ali me nije napuštala misao o tome da imam izrasline na bubrezima. Što ako dobijem rak?! 
Počela sam tražiti kako da izbacim kamenje i uklonim cistu. Čak sam izučavala i ajurvedsku medicinu. Onda sam na jednom forumu našla recenzije o preparatu Nefro Aktiv 
Moj spasilac! Imala sam sumnje,
ali sam se posavjetovala s doktorom i odlučio je da mogu da počnem da ga koristim. Sastav je potpuno prirodni: ekstrakti ljekovitih trava - koprive, kamilice, kunice i borovnice. Sastojci su odabrani u ispravnoj dozi
i djeluju kompleksno tako što čiste kanale u bubrezima i jetri od kamenja i pijeska, a također uklanjaju ciste.
Kod mene je bio zapušteni stadijum, nisam htjela da idem na operaciju i zato sam počela da koristim Nefro Aktiv ne 3 puta (prema uputama), nego 5-6 puta dnevno.
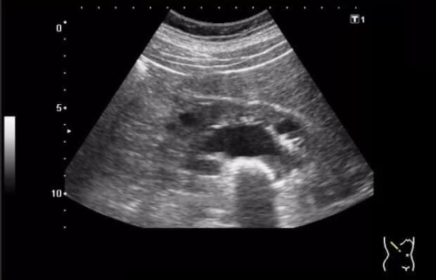
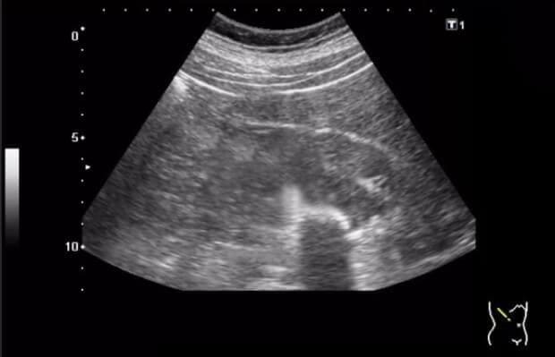
Za mjesec dana ultrazvuk je pokazao da se cista duplo smanjila - sa 20 mm je spala na 10 mm! A dva od tri kamena su se istopila i izašla (sjećam se da me boljelo prilikom mokrenja par dana prije ovoga). Onda sam prešla na običnu dozu. Za mjesec dana, doktor je bio u šoku kad je uradio ultrazvuk - bubrezi su bili čisti! 


Zato ako imate tako strašnu dijagnozu, bez panike!
Neki doktori jedva čekaju da nešto isijeku svojim skalpelom, a vi onda morate na dugotrajan i mučan oporavak nakon operacije. A zašto biste se mučili ako postoji bezbijedan način liječenja - Nefro Aktiv. 
Iako u apotekama Nefro Aktiv nećete naći. Proizvođač ga radi izbjegavanja falsifikata prodaje samo na službenoj stranici.









Komentari: 21
Napisati komentar zdravljeDobar dan. Kad sam radila ultrazvuk bubrega i meni su našli cistu na desnom bubregu 2 cm i lijevom 1,3 cm. Recite mi ako je neko koristio ovo sredstvo imam li ja ikakvu šansu?
Pozdrav. I mene zanima isto pitanje. Moja mama (64 godine) ima cistu na bubregu već 5 godina i puno je muči, a nedavno samo saznali da ima i kamenje. Doktori ne predlažu ništa konkretno. Ili tablete ili preglede.
Pozdrav, ja sam posebno ispričala cijelu priču. Na svom ličnom primjeru sam pokazala da je sve realno. Glavno je da ste optimista i da Nefro Aktiv bude u upotrebi.
Ćao! Imam kompliciranu situaciju sa cistom koja raste. Prošle godine sam išla na magnetnu i prečnik ciste je bio 70 mm. Ne znam što da radim, gdje da se obratim. Kažu mi da je najbolje da je operišem.
Ko kaže?
Pitala sam i doktore i sve oko sebe.
A ako vam kažu da skočite s balkona, hoćete li i to uraditi?
Zašto ste tako grubi? Mi smo ovdje da bi potražili pomoć. I savjet.
Nemojte me pogrešno shvatiti. Sve vam je ovdje rečeno i kako i zašto. Svi minusi operacije, a vi još niste shvatili? Aktuelnost vašeg pitanja otpada jer je autorka već rekla kako se možete riješiti cista bez operacije. Prijatno!
Pozdrav! I ja sam pila ovaj Nefro Aktiv Neću reći da se dogodilo odmah, ali bilo je učinka. Za 4 mjeseca su se i cista i kamenje istopili. S Božjom pomoći. Molila sam se svaki dan.
Hvala za recenzije! Sad ću naručiti.
A ja više ne znam kome da vjerujem. Ne znam koliko sam tableta popila, a ni kamenje ni ciste se nisu istopili. Dolazi do pogoršanja, faktički umirem i oživljavam. Želim zauvijek da se riješim ove bolesti. Sad sam razgovarala s mužem i kaže da kupim ovo sredstvo. Probat ću. Nadam se najboljem.
Pozdrav, svaka vam čast! Ne očajavajte, kao što vidite ni ja nisam odmah našla rješenje za svoj problem. Ali nema veze! Čekam da se javite i kažete da ste potpuno zdravi!
Hvala, dijete moje. I tebi želim puno zdravlja.
Koliko ja znam ciste ne smetaju ako ne narušavaju normalnu funkciju bubrega. Ako su manje od 5 cm, ne morate ni da ih osjetite, posebno ako su pojedinačne.
Pozdrav, čitatelji! Odlučila sam i ja nešto da dodam. Cistu na bubregu su mi našli 2004. godine (nastala je poslije kamena koji je izašao iz bubrega). Na početku je bila 8 mm, a onda 13 mm. Povremeno sam je osjećala. Bol je bio oštar. Nisam mogla da ustanem iz kreveta. Probala sam razne načine osim operacije. Ništa nije imalo poseban efekat. Kao što sam već rekla, cista je rasla. Ali nakon nekoliko godina muke (drugačije to ne mogu reći), saznala sam za Nefro Aktiv Ispila sam jedan tretman. Ultrazvuk je pokazao da se cista smanjila. Ispila sam i drugi. I još se smanjila. Ispila sam i treći. I moja ogromna cista je prosto nestala. To je pravo čudo. Sad nemam nikakvih problema. Tako da preporučujem kome treba.
Autorko, pridružujem se preporukama. Pomoglo je i meni i mom tati.
Nikad ne bih ni pomislila da je to moguće... Obavezno ću naručiti sebi i sestri. Od djetinjstva imamo problema s bubrezima.
Nikad ovo sredstvo nisam vidjela u ljekarnoj. Provjerit ću kod doktora.
Prije dvije godine su mi hitno uklonili veliku (skoro kao polovina bubrega) cistu s bubrega. Operacija laparoskopija je blago rečeno prošla teško. Rehabilitacija mi je bila komplikovana, izgubila sam posao, tj. niko nije htio da mi produži bolovanje. Kako sam ja shvatila, svi tako prolaze oporavak, stalni pregledi i masa lijekova. Tada niko nije znao za Nefro Aktiv. 2026. su mi ponovo našli kamenje i ciste na drugom bubregu. Čekala sam mjesec dana. Nikako nisam mogla da se odlučim za operaciju i hvala Bogu što nisam! Našla sam doktora koji mi je propisao ovo sredstvo. Pila sam ga 2 mjeseca. Prvo je nestalo kamenje, a onda i cista. Tako da obavezno treba proučiti sve načine za rješavanje problema. Posebno ako je zdravlje u pitanju.
Potpuno se lažem. A to pokazuje i praksa, rizik nije opravdan. A i zašto da rizikujete ako postoji Nefro Aktiv.