Специализирани съвети за видовете бъбречни заболявания и алтернативните лечения
-
12 милиона
Всяка година 12 милиона души умират от бъбречни заболявания.
-
95%
В 95% от случаите хирургичната интервенция може да бъде предотвратена.
-
85%
Над 85% от операциите включват камъни в бъбреците и отстраняване на кисти.
Какво причинява възпаление и камъни в бъбреците? Защо се развиват израстъци и кисти на този орган? Как се диагностицират проблемите и се избира правилното лечение? Тази и много други теми ще бъдат обсъдени от нефролог с 30-годишен опит, доктор по медицина Борис Ивайлов.
- Здравейте, кажете ни как да разберем, че имаме проблеми с бъбреците?
- Добър ден! Kогато се развият проблеми, бъбреците може дълго време да не подават сигнали за нарушения в работата си. Само откритията могат да посочат съществуването на болестта. Но без признаци на заболяване, малко хора отиват да се изследват. Практиката показва, че това правят само хората, които са в рисковата група.
- Изглежда, че има омагьосан кръг. Означава ли това, че е възможно да сте болни и да не знаете за това? Няма ли никакви симптоми изобщо?
- До появата на болка и нарушения на уринирането има вторични симптоми, които често са свързани с други заболявания. Това са: гадеща болка в долната част на гръбначния стълб, високо кръвно налягане, кожни обриви, повишен оток, гадене и диспнея.
- Появяват ли се тези симптоми при определено заболяване?
- Само лекарите могат да видят разликата. Но ако страдате от чести инфекциозни заболявания, причината е образуването на камъни, които създават наранявания на пикочните пътища.
- Как се държи тялото при възпаление?
- Възпалението причинява усилване на симптомите и нарушения на уринирането - става болезнено, урината е с тъмен цвят, има кръв или пяна. Важно е да се определи защо е възникнало възпалението.
- Какво причинява бъбречните проблеми?
- Поради хипертония, диабет, затлъстяване, лоши навици, хипотермия, инфекция или някакво предишно заболяване. Няма заболяване, което да не може да засегне бъбреците. Всичко, което се случва във вътрешните органи, рано или късно засяга функцията на бъбреците. Те привличат почти всичко - сърдечно-съдови, белодробни, ендокринни, ревматични заболявания, заболявания на кръвта, стомашно-чревния тракт, черния дроб.
- Как става това?
- Бъбреците са филтър. Те почистват кръвта от токсини и ги изхвърлят от тялото. Бъбреците задържат всички токсини, което се отразява на тяхната функция. Наблюдава се постепенно влошаване на бъбречната функция, но болката се появява едва на последния етап, когато бъбреците напълно престават да изпълняват основната си функция и настъпва бъбречна недостатъчност. Просто е невъзможно да се пренебрегне повече, въпреки че, за съжаление, често е твърде късно да се направи нещо.
- Кои бъбречни заболявания са най-чести?
- Образуване на бъбречни камъни, гломерулонефрит, пиелонефрит, бъбречна недостатъчност и развитие на новообразувания.
- Какво се случва, ако бъбреците не се лекуват или се лекуват неправилно?
- В най-добрия случай ще има операция за отстраняване на камъка или неоплазмата. Но ако бъбреците започнат да отказват, трудно се спасяват. След това е необходима трансплантация. Днес над 3 милиона души отиват на диализа и се нуждаят от бъбречна трансплантация. Само 1000 души на 1 милион души получават бъбречна заместителна терапия.
- Показахте доста стресираща картина. Може ли тази ситуация да се промени по някакъв начин?
- Разбира се. Наскоро Международното дружество по алтернативна медицина модифицира и създаде нова концепция за лечение на бъбречни заболявания. Тя обединява всички пациенти с признаци на бъбречно увреждане и / или нарушения на тяхната функция, независимо от естеството на заболяването или неговите причини. С други думи, установено е „универсално“ лечение.
- Какъв вид лечение е това?
- Когато възникнат проблеми, а също и за предотвратяване на камъни в бъбреците и кисти, фитотерапията се оказа добра. Моята практика показа, че това е най-ефективното лечение днес.
- Каква е същността на новия начин на лечение?
- Фитотерапията се основава на естествени препарати без стероиди, хормони или антибиотици. Използването на естествени компоненти с важен избор на витамини и микроелементи не вреди на други телесни системи. При камъни в бъбреците фитотерапията най-ефективно подобрява безболезненото отстраняване на камъни и пясък от бъбреците, намалява болката, възпалението и подобрява бъбречната функция. Може да се използва във всеки стадий на заболяването, като ефектът се поддържа дори след спиране на лечението. Такъв ефект се постига при лечението на кисти и пиелонефрит.
- Могат ли такива препарати да се използват без рецепта?
- Много пациенти се лекуват с антибиотици и болкоуспокояващи, без рецепта. Такова неконтролирано използване само влошава ситуацията. Последствията не могат да се предвидят. От хормонални нарушения с развитие на тумор, до пълна бъбречна недостатъчност. Фитопрепаратите могат да се използват без рецепта. Те не увреждат здравето и освен това укрепват имунитета.
- Можете ли да препоръчате фитопрепарати за лечение у дома?
- Nefro Aktiv заема първото място в списъка с любимите ми. Избрах го по няколко причини. Първо, той е естествен и само за едно лечение премахва възпалението и подобрява бъбречната функция. Второ, той няма странични ефекти и укрепва имунитета което е важно за бързото излекуване. И трето, помага за бързо и безболезнено отстраняване на пясък, камъни и свиване на кисти.
Класическите бъбречни препарати намаляват местния и общия
имунитет. Ето защо трябва да пиете имуномодулатори. Nefro Aktiv изпълнява независимо тази функция. Колкото по-малко лекарства постъпват в тялото, толкова по-малко оказват негативно влияние върху черния дроб и бъбреците.
- Как се използва този продукт?
- Много лесно. Залейте 1-2 чаени лъжички чай с 200 мл гореща вода. Покривате го да престои 5-10 минути. Прецеждате чая и го пиете. Чаят трябва да се пие по една чаша 2-3 пъти на ден в продължение на един месец.
- Използвате ли го във вашата практика?
- Разбира се. Nefro Aktiv почиства бъбречните канали и позволява по-бързо заздравяване и укрепва имунитета при инфекции на пикочните пътища. Камъните и пясъкът се изхвърлят от тялото през първата седмица без допълнителна терапия. За едно лечение болката, дискомфортът, честите позиви за уриниране и кистите изчезват.
- Можете ли да дадете конкретни примери?
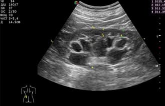
- Разбира се. Първият случай е свързан с камъни в бъбреците. С мен се свърза 27-годишен мъж с болка в дясната страна която започва от гърдите и завършва някъде в областта на пикочния мехур. Болката се проявяваше с кратки спазми, конвулсии, студена пот и се появяваше на вълни. Изображението показва наличието на 19 мм камък, заседнал в горната част на бъбрека. Предписахме Nefro Aktiv . за разбиване на камъни в бъбреците. В рамките на два дни от използването му камъкът започна да се чупи и излезе напълно за една седмица. Пациентът не чувства дискомфорт.
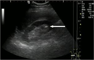
Вторият случай е свързан с киста с диаметър 3 cm. Болестта обикновено преминава без симптоми. Не боли, резултатите са добри, уринирането протича гладко. Ето защо кистата беше толкова голяма. 22-годишното момиче се страхуваше от операция. Изписахме й Nefro Aktiv . В рамките на месец повторният преглед не показа никаква патология.
- Благодаря Bи за подробното интервю. Като цяло, какви общи препоръки можете да дадете за здравето на бъбреците?
- Радвам се, че успях да отговоря на всички Bаши въпроси. Необходимо е да се храните правилно, да се отървете от вредните навици, да се движите повече, да контролирате теглото, налягането, нивата на захар, да избягвате неконтролирано използване на лекарства, вредни за черния дроб: болкоуспокояващи и антибиотици. И, разбира се, използвайте Nefro Aktiv . Помага да се избегнат сериозни здравословни проблеми и да се поддържа бъбречната функция. И не забравяйте, за да не се върнат симптомите, профилактиката е задължителна. Може да се извършва 2-3 пъти годишно. Ако имате някакви съмнения, не губете време! Навременното лечение е ключът към бързото възстановяване.
Съобщение на производителя:
Като част от програмата за поддържане здравето на населението, всеки може да закупи Nefro Aktiv с 50% отстъпка.
Коментари:
Показване на 10 от 10 отзива






























